Dấu hiệu chứng tỏ bạn đã nhiễm sán dây lợn
Ăn nhiều vẫn gầy, rối loạn tiêu hóa, đi ngoài ra đốt trắng... đó có thể là tín hiệu sán dây lợn đang sống trong cơ thể.

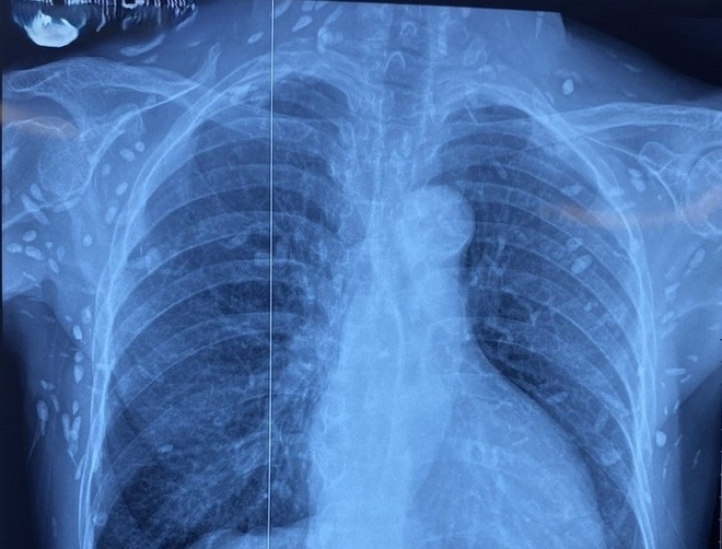
| Nhiều nốt cản quang dưới da thành ngực - bụng của bệnh nhân do sán dây lợn. Ảnh: BVCC |
Theo PGS.TS.BS Phạm Ngọc Minh, khoa Vi sinh - Ký sinh trùng, Bệnh viện Đại học Y Hà Nội, bệnh sán dây lợn là một trong những bệnh truyền nhiễm phổ biến ở nước ta, do sán dây lợn (Taenia solium) gây ra. Người có thể mắc bệnh khi ăn phải thịt lợn chưa được nấu chín có chứa nang ấu trùng (lợn gạo).
Khi món thịt tái trở thành "cầu nối" cho sán ký sinh
Thịt lợn nhiễm ấu trùng sán nếu không được nấu chín kỹ, khi ăn vào sẽ đưa ấu trùng theo đường tiêu hóa xuống ruột non, phát triển thành sán trưởng thành. Loài sán này có thể dài từ 4 đến 6 mét, gồm hàng nghìn đốt, sống ký sinh trong ruột người.
Bác sĩ Phạm Ngọc Minh cho hay sán dây lợn sinh sản bằng cách tách các đốt già ở cuối cơ thể. Những đốt này được thải ra ngoài qua phân, mang theo hàng vạn trứng sán. Khi lợn ăn phải phân người nhiễm sán, trứng sẽ nở trong dạ dày, di chuyển qua máu đến các cơ, hình thành nang sán - hay còn gọi là lợn gạo.
Vòng đời khép kín đó khiến việc kiểm soát bệnh sán dây lợn trở nên phức tạp, đặc biệt ở những vùng ăn thịt tái, tiết canh, hoặc chưa có điều kiện vệ sinh tốt.

Dấu hiệu nhận biết nhiễm sán dây lợn
Theo PGS Minh, dấu hiệu đặc trưng nhất là đi ngoài ra những đốt sán màu trắng đục, có thể đứt khúc, di chuyển trong phân hoặc rơi ra ngoài hậu môn.
Ngoài ra, người bệnh có thể mệt mỏi, đau bụng âm ỉ, rối loạn tiêu hóa, ăn nhiều mà vẫn gầy, đôi khi buồn nôn hoặc mất ngủ.
Một dạng khác là bệnh "gạo người", khi trứng sán nở ra ấu trùng và di chuyển đến các cơ quan khác trong cơ thể. "Tùy vị trí ký sinh mà biểu hiện khác nhau. Nếu ở não, người bệnh có thể bị đau đầu, co giật, yếu liệt tay chân, rối loạn thị giác. Nếu ở cơ, có thể đau nhức, nổi cục nhỏ dưới da", bác sĩ Minh cho biết.
Để xác định bệnh, người bệnh cần xét nghiệm phân để tìm đốt sán hoặc trứng sán tại các cơ sở chuyên khoa ký sinh trùng. Việc tự ý mua thuốc xổ sán hoặc xét nghiệm máu tràn lan có thể dẫn đến sai lệch chẩn đoán, gây nguy hiểm.
Phác đồ điều trị hiện nay là dùng thuốc Praziquantel liều 15-20 mg/kg, uống một liều duy nhất theo chỉ định bác sĩ.
PGS Minh khuyến cáo phòng bệnh sán lợn không khó, quan trọng là giữ vệ sinh và ăn uống an toàn:
- Ăn chín, uống sôi, tuyệt đối không ăn thịt lợn tái, nem chua hoặc tiết canh.
- Rửa tay sạch trước khi ăn và sau khi đi vệ sinh.
- Không dùng phân tươi bón rau, tránh để lợn tiếp xúc với phân người.
- Kiểm soát nguồn thịt rõ ràng, không mua thịt có dấu hiệu nổi hạt trắng trong thớ thịt (nghi ngờ lợn gạo).
Máu là sức mạnh tự nhiên, là nguồn năng lượng quan trọng đã duy trì sự sống của chúng ta từ thời xa xưa. Bạn có thể không biết mình thuộc nhóm máu nào trừ khi bạn từng đi hiến máu hoặc cần truyền máu. Tại sao nhóm máu của chúng ta lại mạnh mẽ đến vậy? Vai trò thiết yếu của nhóm máu đối với sự tồn tại của chúng ta là gì - không chỉ trong hàng nghìn năm trước mà cho đến tận ngày nay?
Cuốn sách Ăn theo nhóm máu của BS Peter J D'Adamo gợi ý những chế độ ăn theo nhóm máu và những tác động đến sức khỏe, đời sống và tuổi thọ.
https://lifestyle.znews.vn/dau-hieu-chung-to-ban-da-nhiem-san-day-lon-post1599255.html






